Animal
PLATAFORMA DE IMAGEN
- Tomografía Axial Computarizada. Quantum GX microCT, Perkin Elmer.
- Ecografía por Ultrasonidos. VEVO 3100, Visualsonics.
- IVIS Spectrum, Perkin Elmer
Responsables:
Xabier Morales: xmorales@unav.es
Maider Esparza: maideresparza@unav.es 
Lucía Grande: lgrande@unav.es 
Teléfono: +34 948 194 700 Ext. 5021/6004
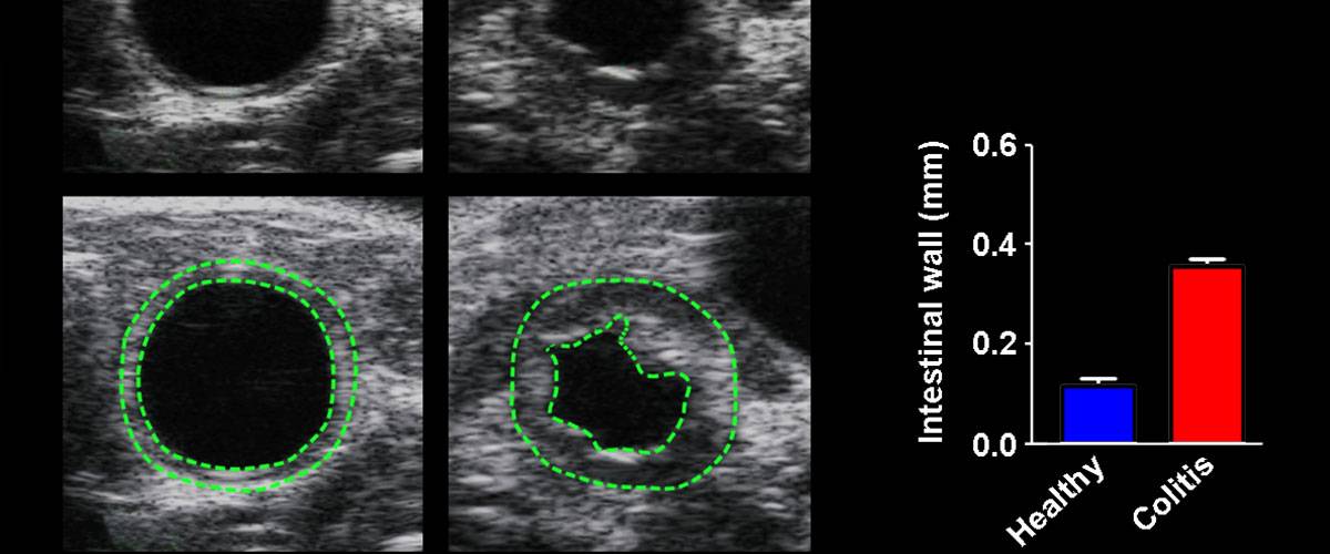
Vevo 3100®
Ultrasonidos de alta resolución orientada a pequeños roedores
Quantum GX®
Tomografía computarizada de alta resolución orientada a pequeños roedores y muestras clínicas
PhotonIMAGER Optima®
Detección, biodistribución y cuantificación de señales de bioluminiscencia y fluorescencia en pequeños roedores, con o sin anestesia inhalatoria, y cultivos celulares.
 
 
 
 
 
 
 
 
 
 
 
 
 
 
 
 
 
 
 
 
